IHMC Public Cmaps (2)

        University of New Brusnwick
            Nursing
                Pathophysiology
                APC

                    apc.png
                    APC.cmap
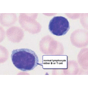
                    bcell.png
                    DendriticCell_400.jpg
                    macrophage.jpg
                    mast cell.png
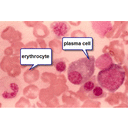
                    plasmacell.png