IHMC Public Cmaps (2)

        GTC RAD205 Spring 2010
        Trauma

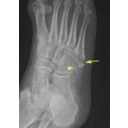
            avulsion_5th_proximal_metatarsal.jpg
            boxers-fracture.jpg
            CervicalSpineCT.jpg
            neckxray1red.jpg
            thmb_43ce0fd312babshaken-infant5.jpg
            Trauma C-map by Kristen, Melonie, Emily.cmap