IHMC Public Cmaps (2)

        KSU
            Nurs61095
            APC

                apc.png
                APC.cmap
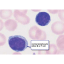
                bcell.png
                DendriticCell_400.jpg
                macrophage.jpg
                mast cell.png
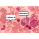
                plasmacell.png