IHMC Public Cmaps (2)

        IES Júlia Minguell (Badalona)
            Promoció 0607
                Biologia
                    3rB
                    Sanchez I

                        bacterias.jpg
                        el sistema nerviós.cmap
                        tema 7 LA SALUT.cmap
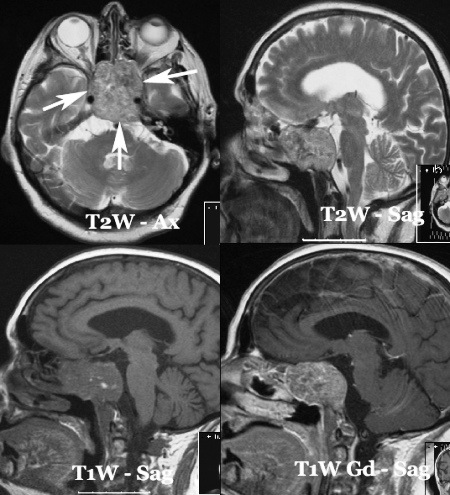
                        tumor.jpg